INIZIALI paziente – Età
C.E. – 14 anni
Motivo della visita
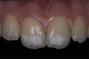
La paziente si presenta alla nostra osservazione per seduta di igiene orale professionale lamentando da sempre il suo disagio estetico per la presenza di due ampie macchie bianche in sede 11 e 21 e chiedendo se era possibile risolvere tale problematica (immagini 1-2-3).
Esame obiettivo e descrizione della situazione clinica osservata
All’esame obbiettivo la paziente si presentava un ottimo stato di salute parodontale e dentale. Era presente soltanto un piccolo difetto dello smalto in sede 23 oltre a quelli già evidenziati in sede 11 e 21 presenti sin dalla nascita e di probabile origine traumatica, visto che i genitori hanno riferito che la ragazza all’età di 4 anni ha subito un trauma sugli incisivi superiori da latte.
Terapie intraprese precedentemente
In passato non è stato fatto né proposto alcun tipo di trattamento con dentifrici o mousse specifici. L’unica proposta terapeutica è stata quella di attendere la maggiore età per risolvere l’inestetismo con due faccette in ceramica in sede 11 e 21 (soluzione che al momento non soddisfa né la paziente né i genitori per l’invasività del trattamento). A seguito di una corretta anamnesi e attenta valutazione clinica, spieghiamo alla paziente che si tratta di una ipomineralizzazione dello smalto da trauma e che al momento possiamo approcciare solo con l’utilizzo di prodotti reminaralizzanti e che al raggiungimento della maggiore età potremmo provare con una tecnica combinata (sbiancamento professionale e infiltrazione) a migliorare l’inestetismo presente.
Piano di trattamento
- Visita iniziale
- Igiene orale professionale con tecnica GBT
- Ritenendo la paziente non idonea per l’età ad utilizzare le mascherine termostampate, è stato spiegato come applicare BIOSMALTO MOUSSE CARIE ABRASIONE & EROSIONE, eseguendo una sola applicazione al dì, dopo aver spazzolato accuratamente i denti, ponendo attenzione a non bere né mangiare per i successivi 30 minuti
- Controllo clinico e fotografico ogni 3 mesi e rivalutazione
- Seduta di GBT ogni 6 mesi secondo il profilo di rischio
Risultato della terapia e i progressi osservati nei vari intervalli
Le foto a T-0 mettono in evidenza come l’inestetismo presente in sede 11 e 21 risulti particolarmente fastidioso per la paziente (immagine 1-2). Le immagini al follow-up a 6 e 12 mesi (immagini 4-5) mostrano il risultato soddisfacente del trattamento remineralizzante con un miglioramento della lesione dello smalto che ad oggi si presenta con un’area meno estesa e una riduzione dell’opacità generale delle lesione con un aumento della traslucenza.
Piano di mantenimento concordato: intervalli di richiamo, monitoraggio
Con la paziente è stato concordata una terapia di supporto professionale con cadenza semestrale. Domiciliarmente la paziente continua a utilizzare il dentifricio CURASEPT BIOSMALTO PROTEZIONE CARIE 2 volte al dì e la MOUSSE CURASEPT BIOSMALTO PROTEZIONE CARIE ED EROSIONE 1 volta al dì. Il risultato del trattamento fino ad oggi è soddisfacente in attesa di poter procedere raggiunta la maggiore età al trattamento di sbiancamento professionale domiciliare e eventualmente all’infiltrazione con resine a basso peso molecolare
Sono state modificate le tecniche di igiene orale?
La paziente è passata all’utilizzo quotidiano dello spazzolino elettrico roto-oscillante. Inoltre la paziente utilizzava prima del trattamento dentifrici non specifici ed oggi con i prodotti domiciliari che utilizza regolarmente (Mousse e dentifricio specifico) si occupa correttamente di preservare la superficie dello smalto e preparare lo smalto stesso a trattamenti più complessi al raggiungimento dei 18 anni. È stato notato inoltre un miglioramento netto del grado di collaborazione della paziente anche grazie al coinvolgimento nella terapia e ai risultati finora raggiunti.
Giudizio della commissione giudicatrice
Caso ben documentato, protocollo corretto per le macchie ipomineralizzate in attesa di trattamenti più invasivi per la maggiore età, buono il risultato.





