Elaborato 14

Età del paziente
14 anni
Motivo della visita
Si presenta ad un richiamo semestrale di igiene orale professionale una paziente minorenne accompagnata dalla madre, di sesso femminile, che ha effettuato un trattamento ortodontico fisso terminato circa 18 mesi prima.
Terapie intraprese precedentemente
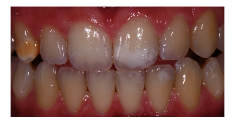
Durante l’esame obiettivo con l’ausilio di una reflex per macrofotografia odontoiatrica, individuiamo delle white spot lesions (WSL) da MIH sui denti 2.1, 3.2, 3.6 e 4.6 classificate ICDAS-II di tipo 2 e una brown spot lesions (BSL) da amelogenesi imperfetta (AI) sul dente 1.3 (fig. 1).

Dalla documentazione presente in cartella si evidenzia che queste lesioni erano già presenti anche prima del trattamento ortodontico.
Da un esame più approfondito osserviamo che la WSL sul dente 2.1 presenta due lesioni sovrapposte, una superficiale di tipo WSLs dovuta alla terapia ortodontica e una profonda da MIH. Quest’ultima come anche la lesione del dente 3.2 risultano progredire positivamente verso la superfice dello smalto rendendosi idonee ad un trattamento combinato per WSL. Le condividiamo con la paziente che a questo punto ci comunica il suo disagio dovuto a queste “macchie bianche” e la presenza di sensibilità dentinale.
Spieghiamo anche alla madre la possibilità, mediante un nuovo approccio con prodotti innovativi, di potere intervenire su queste lesioni in modo minimamente invasivo, riuscendo a ripristinare sia lo stato estetico che salutare del sorriso.
Precisiamo inoltre che la BSL dell’elemento 1.3 non darà risultati estetici importanti, ma andrà ugualmente trattata per evitare che questa possa aggravarsi.
Terapie intraprese precedentemente
Dopo la conclusione del trattamento ortodontico fisso, la paziente ha iniziato ad utilizzare dentifrici sbiancanti con l’obiettivo di riuscire a mimetizzare le lesioni dello smalto.
Piano di trattamento
- PREPARAZIONE
Alla tecnica di spazzolamento Tailoring personalizzata e condivisa che la paziente adotta già da tempo, applichiamo un protocollo domiciliare remineralizzante personalizzato. - TERAPIA
Consegniamo una confezione di Curasept Biosmalto Mousse Azione d’urto Carie, Abrasione, Erosione accompagnato da un foglietto esplicativo in modo che anche a casa la paziente possa riuscire a ripetere l’operazione senza nessuna difficoltà. Le chiediamo di applicare la Mousse due volte al giorno, mattina e sera, sulle superfici da trattare e lasciarla agire il più possibile. In ogni caso la prima applicazione viene effettuata in office in modo da permetterle di assimilare bene tutti i passaggi, capire le relative quantità da applicare, la tecnica più corretta alle sue esigenze e potere chiarire gli eventuali dubbi.
In associazione alla Mousse è stato consigliato l’utilizzo del dentifricio Curasept Biosmalto Carie, Abrasione, Erosione tre volte al giorno. - EFFETTI COLLATERALI
Né l’operatore né la paziente rilevano effetti collaterali.
Risultato della terapia e progressi osservati nei vari intervalli
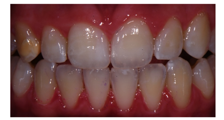
Al follow up dopo un mese (T1) osserviamo un miglioramento della WSL dell’incisivo 2.1. Infatti mentre alla prima visita (T0) la WSL dell’incisivo 2.1 si presentava come due lesioni sovrapposte, una profonda e una superficiale, al controllo dopo un mese si nota una riduzione della lesione più esterna. In accordo con la paziente decidiamo di proseguire con questa terapia. Al secondo follow up, a distanza di un ulteriore mese (T2), osserviamo che la WSL dell’incisivo 2.1 si è ridotta ulteriormente e la sensibilità risulta essere sparita. Essa infatti presenta solo una lesione profonda (MIH) mentre quella più esterna da trattamento ortodontico è mimetizzata. La WSL del dente 3.2 e la BSL del dente 1.3 invece non mostrano nessun cambiamento. Decidiamo comunque di procedere con il medesimo protocollo per un ulteriore mese. Al terzo follow up sempre a distanza di un mese (T3), osserviamo che non c’è nessun cambiamento nelle WSL e scegliamo con la paziente e la madre di proseguire con un nuovo approccio terapeutico combinato. In questo caso la terapia prevede il supplemento di tre tecnologie: sbiancamento, microabrasione e infiltrazione.
È infatti grazie alla sinergia di queste quattro tecnologie che riusciamo a trattare con successo le WSL più profonde ed estese (fig. 2).

Terminata la terapia in office rileviamo per la seconda volta il colore dei denti trattati e confrontiamo i risultati con quelli iniziali (Fig. 3).

Dal confronto emerge che:
- l’incisivo 2.1 non mostra importanti cambiamenti di tonalità dentinale mantenendo un colore della scala Vita A1;
- l’incisivo 3.2 mostra un colore dentinale più uniforme rilevando una tonalità complessiva da C1 ad A1 con un miglioramento di 4 toni;
- il canino 1.3 si presenta più uniforme, passando da una tonalità A3,5 a D3 migliorando di 2 toni.
A completamento del trattamento e fino al successivo follow up a 7 giorni, la paziente continua ad applicare la Mousse Biosmalto su tutto il settore anteriore e sui primi molari dove sono presenti le WSL.
Piano di mantenimento concordato: intervallo di richiamo, monitoraggio
Durante il primo follow up il risultato ottenuto si manifesta stabile, inoltre la paziente ci riferisce di non aver accusato nessun fastidio e di non percepire più sensibilità dentinale.
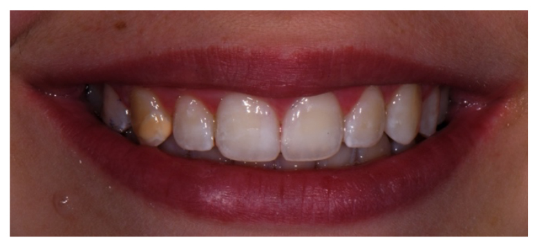
La paziente ha continuato a ripete controlli mensili, igiene orale professionale a cadenza semestrale e mostra tutta la sua soddisfazione nei risultati ottenuti (Fig. 4).

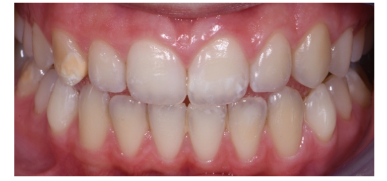
A distanza di 5 mesi ripetiamo una seduta di igiene orale professionale e mediante un’indagine fotografica valutiamo lo stato di salute dello smalto che risulta stabile (Fig. 5).

Mediante l’utilizzo di prodotti remineralizzanti le WSL lievi possono regredire in poche settimane. Tuttavia, il meccanismo di remineralizzazione nello strato superficiale dello smalto, non riesce a migliorare le proprietà estetiche e strutturali delle lesioni più profonde. Va inoltre tenuto conto delle esigenze del paziente e della sua propensione a seguire la terapia domiciliare indicata dall’igienista dentale.

Sono state modificate le tecniche di igiene orale?
La paziente possedeva già una buona igiene orale domiciliare.
Giudizio della commissione giudicatrice
La diagnosi è Ipomineralizzazione dei molari e degli incisivi permanenti. La lesione su 2.3 non è amelogenesi imperfetta. Il piano di trattamento è corretto, il caso è documentato bene e la documentazione fotografica è discreta.