Fig. 10B Fotografia intraorali vestibolare a 3 anni

Fig. 10B Fotografia intraorali vestibolare a 3 anni

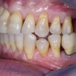
Fig. 1C Fotografia intraorale laterale

Fig. 10A Fotografia intraorali vestibolare a 3 anni

Fig. 10A Fotografia intraorali laterale a 3 anni
Fig. 10C Fotografia intraorali laterale a 3 anni