Fig. 1A Fotografia intraorale laterale

Fig. 1A Fotografia intraorale laterale

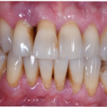
Fig. 1C Fotografia intraorale laterale

Fig. 1A Fotografia intraorale laterale

Fig. 1B Fotografia intraorale vestibolare
Fig. 2A Fotografia intraorale palatale