Accedi
La rivista
Board
Norme redazionali
Abbonati
Contattaci
News
Rubriche
Aggiornamento clinico
Interviste
Focus atenei
Approccio olistico
Rassegna bibliografica
Risposte fiscali
Psicologia
Cultura digitale
Articoli scientifici
Abstract
Revisione bibliografica
Ricerca clinica
Ricerca sperimentale
Ricerca epidemiologica
Associazioni
AIDI
ATASIO
Il Chirone
SISIO
Info prodotti
C. N. CSID
Accedi
Benvenuto!
Accedi al tuo account
Nome utente o indirizzo email
Password
Password dimenticata?
Cerca
Accedi / Registrati
ACCEDI
Benvenuto! Accedi al tuo account
Nome utente o indirizzo email
Password
Ricordami
Password dimenticata?
Rivista Italiana Igiene Dentale
La rivista
Board
Norme redazionali
Abbonati
Contattaci
News
Rubriche
Aggiornamento clinico
Interviste
Focus atenei
Approccio olistico
Rassegna bibliografica
Risposte fiscali
Psicologia
Cultura digitale
Articoli scientifici
Abstract
Revisione bibliografica
Ricerca clinica
Ricerca sperimentale
Ricerca epidemiologica
Associazioni
AIDI
ATASIO
Il Chirone
SISIO
Info prodotti
C. N. CSID
Home
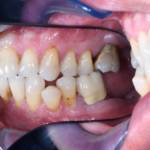
Terapia parodontale non chirurgica: follow-up a 3 anni
Fig. 1B Fotografia intraorale vestibolare
Fig. 1B Fotografia intraorale vestibolare
Fig. 1B Fotografia intraorale vestibolare
Edicola
Rivista Italiana di Igiene Dentale
ARTICOLI SCIENTIFICI
Valutazione dell’efficacia clinica e microbiologica...
Abstract
25 Marzo 2026
Confronto dell’efficacia della Laserterapia e...
Abstract
19 Marzo 2026
Correlazione traumatica-infettiva: tra piercing linguale...
Abstract
10 Marzo 2026
INFO PRODOTTI
Odonto-IA: chirurgia e protesica digitale,...
Info prodotti
16 Marzo 2026
TePe Italia: Giacomo Cesarini alla...
Info prodotti
25 Febbraio 2026
TePe EasyFit: la nuova soluzione...
Info prodotti
30 Gennaio 2026