Accedi
La rivista
Board
Norme redazionali
Abbonati
Contattaci
News
Rubriche
Aggiornamento clinico
Interviste
Focus atenei
Approccio olistico
Rassegna bibliografica
Risposte fiscali
Psicologia
Cultura digitale
Articoli scientifici
Abstract
Revisione bibliografica
Ricerca clinica
Ricerca sperimentale
Ricerca epidemiologica
Associazioni
AIDI
ATASIO
Il Chirone
SISIO
Info prodotti
C. N. CSID
Accedi
Benvenuto!
Accedi al tuo account
Nome utente o indirizzo email
Password
Password dimenticata?
Cerca
Accedi / Registrati
ACCEDI
Benvenuto! Accedi al tuo account
Nome utente o indirizzo email
Password
Ricordami
Password dimenticata?
Rivista Italiana Igiene Dentale
La rivista
Board
Norme redazionali
Abbonati
Contattaci
News
Rubriche
Aggiornamento clinico
Interviste
Focus atenei
Approccio olistico
Rassegna bibliografica
Risposte fiscali
Psicologia
Cultura digitale
Articoli scientifici
Abstract
Revisione bibliografica
Ricerca clinica
Ricerca sperimentale
Ricerca epidemiologica
Associazioni
AIDI
ATASIO
Il Chirone
SISIO
Info prodotti
C. N. CSID
Home
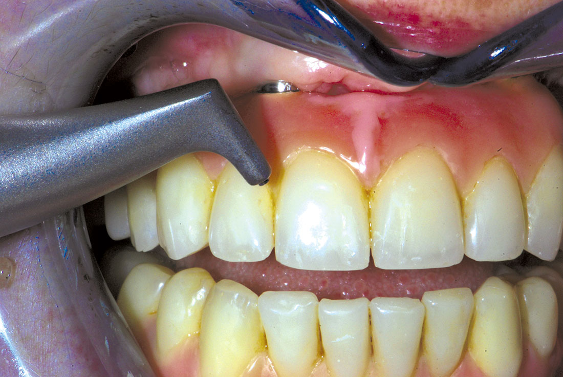
Protocolli clinici e domiciliari per riabilitazioni protesiche full-arch avvitate su impianti inclinati
protocolli-clinici-01
protocolli-clinici-01
Edicola
Rivista Italiana di Igiene Dentale
ARTICOLI SCIENTIFICI
White spot lesions
Articoli scientifici
4 Maggio 2026
Correlazione tra erosione dentale e...
Articoli scientifici
4 Maggio 2026
Valutazione dell’efficacia clinica e microbiologica...
Abstract
25 Marzo 2026
INFO PRODOTTI
Solventum debutta a Expodental Meeting...
Contenuto sponsorizzato
1 Maggio 2026
Solventum sarà presente ad Expodental...
Info prodotti
1 Maggio 2026
Odonto-IA: chirurgia e protesica digitale,...
Info prodotti
16 Marzo 2026