Fig. 6a

Fig. 1 All'esame clinico si notano depositi di tartaro e gengive edematose.
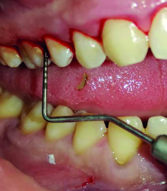
Fig. 5
Fig. 6 Per il controllo del dolore è stato applicato un anestetico topico in gel abase di lidocaina e prilocaina; per rimuovere il tartaro subgingivale è stato utilizzato l’inserto Slimline 30 K 10 LR Curve.  Per il controllo del dolore è stato applicato un anestetico topico in gel abase di lidocaina e prilocaina; per rimuovere il tartaro subgingivale è stato utilizzato l’inserto Slimline 30 K 10 LR Curve.