Fig. 9b

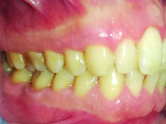
Fig. 1 All'esame clinico si notano depositi di tartaro e gengive edematose.

Fig. 9b

Fig. 9a
Fig. 9c