Fig. 8

Fig. 1 All'esame clinico si notano depositi di tartaro e gengive edematose.

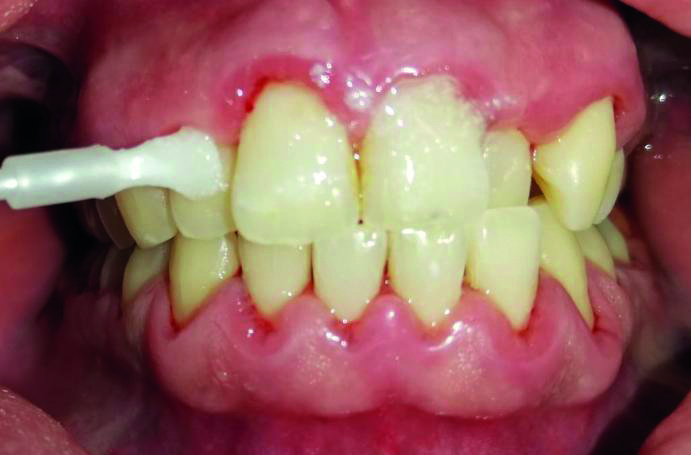
Fig. 8 Per dare sollievo all’ipersensibilità è stata applicata unavernice al fluoruro di sodio.

Fig. 7
Fig. 9a