Fig. 1

Fig. 1 All'esame clinico si notano depositi di tartaro e gengive edematose.

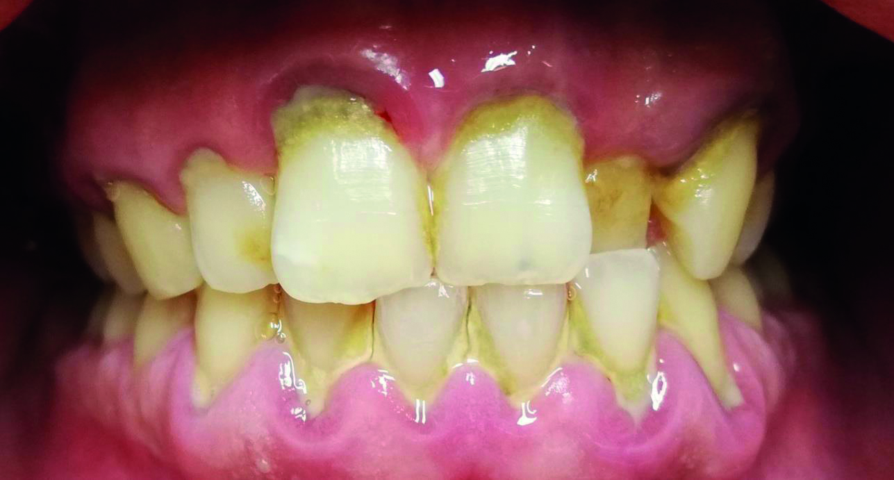
Fig. 1 All’esame clinico si notano depositi di tartaro e gengive edematose.

Fig. 2